Book an Appointment
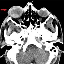
NCCT Scan Orbit Axial
Medifyhome offers the NCCT Scan Orbit Axial, which is a non-invasive diagnostic imaging procedure for providing extensive cross-sectional views of the orbit and surrounding structures. In many conditions, this NCCT Scan Orbit Axial is vital in diagnosing orbital fractures, tumors, infections, and abnormalities of the eye and its supporting structures. With advanced technology, this NCCT Scan Orbit Axial gives doctors precise images that are important for making accurate diagnoses and creating appropriate treatments.
By leveraging Medifyhome’s effective services, you can achieve this basic scan at discounted rates. The NCCT scan price differs according to different locations and specific needs; Medifyhome ensures that patients acquire high-quality imaging at discounted costs. Whether you look for a regular check-up or an urgent diagnostic process, Medifyhome’s NCCT Scan Orbit Axial will stand by and offer clarity to support your health. Contact Medifyhome to find out more about how to get in touch to determine pricing and scheduling for your NCCT Scan Orbit Axial today.
What is an NCCT Scan Orbit Axial?
An NCCT Scan Orbit Axial is a specialized test in imaging, which offers cross-sectional images of the eye socket (orbit) and its adjacent structures without using contrast dye. This is mainly used for conditions like fractures, tumors, infections, or foreign objects within the orbit. Axial ensures precise imaging in a particular plane, offering clear insights into structural abnormalities. It is a quick, non-invasive procedure that is useful for accurate diagnosis and planning for the treatment of conditions of eye and orbital health.
Why is an NCCT Scan Orbit Axial Performed?
An NCCT scan orbit axial is used to diagnose and assess several conditions affecting the eye socket and its surrounding areas. It is often conducted for orbital fractures, tumors, infection, foreign bodies, or changes in the bones and orbits’ tissues.
This scan will determine trauma, inflammation, or any need for surgical interventions. Its excellent resolution will allow doctors to get an accurate location and nature, thus enabling strong diagnoses and treatment options in the case of most disorders concerning the eyes and their supporting structures.
Benefits of NCCT Scan Orbit Axial
- It provides detailed and accurate images of the eye socket and surrounding structures for accurate diagnosis.
- It identifies problems such as fractures, tumors, infections, and foreign objects without requiring invasive procedures.
- Quick and efficient procedure, usually done in 10-15 minutes, saving time for the patient.
- Does not use contrast dye, therefore safer for use in an individual with an allergy or kidney issue.
- Supports effective treatment planning by providing high-resolution imaging critical for surgical or medical interventions.
Conditions Diagnosed with NCCT Scan Orbit Axial
An NCCT Scan Orbit Axial is essential in diagnosing conditions of the eye socket and the structures around it. It is capable of detailed imaging, which will help in identifying abnormalities and injuries.
Conditions Diagnosed:
- Orbital fractures or trauma
- Tumors or masses in the orbit
- Infections like orbital cellulitis
- Foreign objects lodged in the orbit
- Structural abnormalities or deformities
Symptoms Indicating the Need for an NCCT Scan Orbit Axial
An NCCT scan orbit axial is often suggested when some symptoms point towards potential problems in the eye socket and its related structures. Imaging helps to detect such cases early so that proper treatment can be given.
Symptoms pointing towards it:
- Constant pain or swelling in the eyes
- Blurred or double vision
- Exophthalmos or globe displacement
- Eye movement is impossible or uncoordinated
- Trauma history or injury in the orbital region
- Test Type: NCCT Scan Orbit Axial
- Preparation:
- Wear a loose-fitting cloth
- Fasting not required
- Carry Your ID Proof
- Prescription is mandatory for patients with a doctor’s sign, stamp, with DMC/HMC number; as per PC-PNDT Act
- Reports Time: With in 4-6 hours
- Test Price: Rs.1500
Why is the NCCT Scan Orbit Axial done?
This is recommended to diagnose conditions such as orbital fractures, infections, tumors, foreign objects, or structural anomalies affecting the eyes or their surrounding tissues.
How should I prepare myself for the NCCT Scan Orbit Axial?
Preparation is not particularly required. in case you are pregnant or have any sort of metal implant, or recently underwent surgery, you are required to report this to your doctor or the technician before undergoing the procedure.
How long does the scan take?
The scan is fast and usually takes about 10-15 minutes. Some extra time may be spent in registration and positioning.
Is NCCT Scan Orbit Axial safe?
Yes, it is a safe procedure. Minimal radiation is emitted to scan the body and there is less risk of allergic reaction or side effects due to the use of no contrast dye.
What is NCCT Scan Orbit Axial?
It is a noninvasive CT scan that provides clear images of the eye socket and all of its surrounding structures without using contrast dye.
Most Booked Ct Scan Parts
With Medifyhome, book a CT scan get the fastest appointment scheduling at NABH & ICMR Certified diagnostic centers near you. Trusted reports, expert radiologists, and seamless service-only a click away!
Why Choose Medifyhome for NCCT Scan Orbit Axial?
Choose Medifyhome for your NCCT Scan Orbit Axial needs because we prioritize accuracy, reliability, and patient care. Our diagnostic services are conducted at NABL and ICMR-accredited labs, ensuring that you receive the highest quality imaging with precise results. Medifyhome’s state-of-the-art equipment and expert radiologists ensure clear and detailed images, aiding in accurate diagnoses. We also offer competitive pricing without compromising on the quality of service. With a commitment to patient safety and care, Medifyhome provides a trustworthy and efficient solution for all your diagnostic needs, including the NCCT Scan Orbit Axial.











