Skip to content

 CALL US : +9191009 07036, +919100907622 

NCCT TM Joint

Book your NCCT TM Joint at Medifyhome, where we offer top-quality scans at the best prices. Our NABL & NABH-accredited diagnostic centers ensure accurate and reliable results.

Dr. Suna Keerthi - Pediatrician

Trusted 1296 + Doctors

scan Report

100% Accurate Report

Book an Appointment

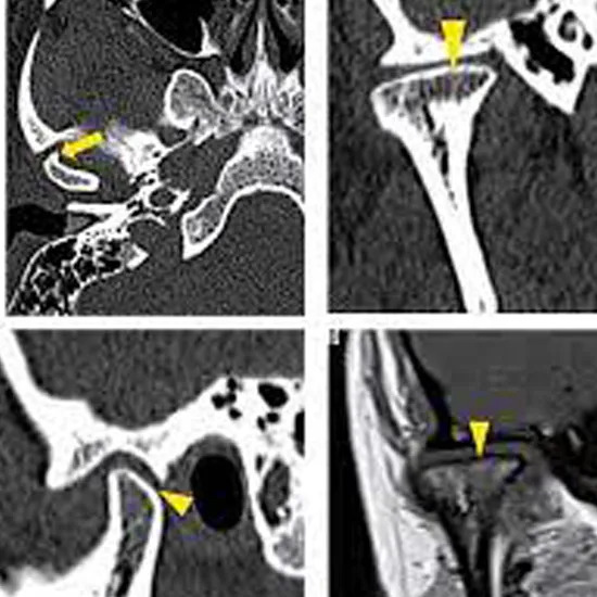
NCCT TM Joint

The NCCT TM joint by Medifyhome Healthcare is an advanced radiography technology designed to help get detailed assessments of the TMJ in an exceedingly precise way. Noncontrast computed tomography enables patients to acquire a lot more information about their anatomy and anomalies as opposed to traditional imaging technologies when exploring joint disorders, arthritis, and trauma of the TMJ. The NCCT TM Joint helps doctors make proper judgments about the kind of treatment needed, which is eventually taken care of by treating jaw pain or dysfunction in patients. Medifyhome Healthcare has upgraded this service with quality and innovation so that timely interventions can be provided for the proper care of a patient.

Most Booked Ct Scan Parts

With Medifyhome, book a CT scan get the fastest appointment scheduling at NABH & ICMR Certified diagnostic centers near you. Trusted reports, expert radiologists, and seamless service-only a click away!

Why Choose Medifyhome for the NCCT TM Joint?

Medifyhome for your healthcare needs offers several benefits, in which the needs of the patient are very well considered, and convenience is emphasized. Medifyhome provides a smooth experience with its intuitive platform that makes it easy to schedule appointments and access various medical services. Medifyhome focuses on high-quality care and connects patients with experienced healthcare professionals and specialists who dedicate themselves to delivering tailor-made treatment plans. In terms of transparency, services provided, costs, and the kind of reviews patients give are visible to you, so you can make the right choices. Medifyhome, being committed to technology, generally facilitates smooth healthcare experiences.

Book Now 24*7 Support

Call Now Button