Book an Appointment
MRI Whole Abdomen
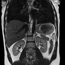
An MRI of the Whole Abdomen is a comprehensive imaging procedure that clearly depicts images of all the organs in the abdomen, such as the liver, kidneys, pancreas, spleen, intestines, and tissues around the abdomen. This is an advanced diagnostic method utilizing magnetic fields and radio waves to produce high-resolution images of the structures with no ionizing radiation to the patients. MRI Whole Abdomen is particularly helpful in diagnosing a wide variety of conditions, including tumors, liver diseases, kidney disorders, abdominal pain, and vascular abnormalities.
This modality allows the health care provider to diagnose your condition appropriately and prepare an appropriate treatment course because it captures detailed cross-sectional images. If you experience inexplicable abdominal symptoms, MRI Whole Abdomen provides accurate insight for timely and reliable diagnosis. Book your scan today with Medifyhome to avail of expert care services.
Common Conditions Diagnosed by MRI Whole Abdomen
- Liver Diseases: Detects fatty liver, cirrhosis, or tumors.
- Kidney Disorders: Identifies kidney stones, cysts, or infections.
- Abdominal Tumors: Assesses both benign and malignant growths.
- Pancreatic Conditions: Diagnosis pancreatitis or pancreatic tumors.
- Bowel Disorders: Evaluates Crohn’s disease, ulcers, or obstructions.
- Vascular Abnormalities: Detects aneurysms or blockages in abdominal blood vessels.
- Spleen Disorders: Assesses enlargement or trauma.
Pre-MRI Whole Abdomen Preparation
- Avoid eating or drinking for 4–6 hours before the procedure unless instructed otherwise.
- Remove all metallic items, such as jewelry, belts, or watches.
- Inform the technician about any implants, pacemakers, or surgical hardware.
- Wear loose-fitting clothing or use a gown provided at the facility.
- Relax and remain still during the scan for optimal image quality.
- Test Type: MRI Whole Abdomen
- Preparation:
- Wear a loose-fitting cloth
- Fasting not required
- Carry Your ID Proof
- Prescription is mandatory for patients with a doctor’s sign, stamp, with DMC/HMC number; as per PC-PNDT Act
- Reports Time: With in 4-6 hours
- Test Price: Rs.4600
How long does an MRI Whole Abdomen take?
The procedure typically lasts 45–90 minutes.
Is the MRI scan painful?
No, the process is completely pain-free and non-invasive.
Will contrast dye be required?
Your doctor will decide if contrast dye is necessary based on your condition.
Can MRI Whole Abdomen detect tumors?
Yes, it is highly effective in identifying tumors and other abnormalities
Why Choose Medifyhome for MRI Whole Abdomen?
Medifyhome provides excellent diagnostic services with great comfort and precision for patients. Our state-of-the-art MRI provides accurate imaging of the abdominal region for detailed assessments. The process is smooth here at Medifyhome from scheduling appointments, quick turn-around reports, and all in a warm environment that treats patients with respect. Your questions are always answered professionally, and our radiologists along with our empathetic staff make it easy for you. Medifyhome also provides its excellent service at affordable charges so that people can have a good life.



