Skip to content

 CALL US : +9191009 07036, +919100907622 

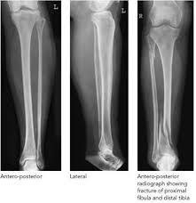
X-Ray Both Lower Limb

Obtain detailed imaging of both lower limbs with the X-Ray Both Lower Limb service at Medifyhome. Our NABL and NABH-accredited centers ensure accurate, reliable, and affordable diagnostic care

Dr. Suna Keerthi - Pediatrician

Trusted 1296 + Doctors

scan Report

100% Accurate Report

Book an Appointment

X-Ray Both Lower Limb

Medifyhome provides comprehensive X-Ray Both Lower Limb imaging to capture clear, front-to-back views of both legs, including the femur, tibia, fibula, knees, ankles, and feet. This scan is vital for diagnosing fractures, bone deformities, joint issues, infections, and other abnormalities affecting the lower limbs. Conducted at NABL and NABH-certified diagnostic centers, our imaging services offer precise and trustworthy results to aid effective treatment planning. With a focus on quality and affordability, Medifyhome is your reliable partner for expert diagnostic solutions.

Why Choose Medifyhome ?

Medifyhome is a leading digital healthcare platform that provides high-quality tests at affordable prices in trusted laboratories. We collaborate with top-tier labs and clinics with the latest technology to offer a wide range of ultrasound scans with accurate results. Your safety and comfort are our top priorities. We provide various ultrasounds for twins, bladder, head, knee, limbs, eyes, and more. Additionally, we offer MRI scans, such as the brain with CSF flow and lower abdomen, and CT scans like NCCT of the right foot and right tibia. Our partners are NABL and NABH certified, ensuring high-quality care. For more information, visit our page on Medifyhome or contact us at +919100907036 or +919100907622.

Book Now 24*7 Support

Call Now Button