Book an Appointment
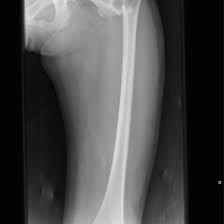
X-ray Left Femur AP/Lateral
If you are searching for a reliable and accurate X-ray of the Left Femur, MedifyHome offers AP (front) and Lateral (side) view imaging at your convenience. This test is important for diagnosing fractures, bone infections, tumors, or any abnormalities in the thigh bone. Our certified radiographers use advanced portable X-ray equipment to provide high-quality images right at your home. With NABL and NABH-accredited partner labs, you get trusted results quickly, helping your doctor create the best treatment plan. Whether it’s for injury assessment, ongoing bone health monitoring, or pre-surgical evaluation, our Left Femur X-ray service combines accuracy, ease, and safety to support your healthcare needs.
What is an X-ray Left Femur AP/Lateral?
An X-ray Left Femur AP/Lateral is a diagnostic imaging test that captures detailed front (anteroposterior) and side (lateral) views of the left thigh bone (femur). It helps doctors evaluate the bone’s structure to detect fractures, infections, tumors, or other abnormalities.
Why is it Done?
To detect fractures or breaks in the left femur
To identify bone infections or inflammation
To evaluate bone tumors or cysts
To assess bone alignment and healing after injury
To monitor chronic bone conditions or abnormalities
How do you prepare for an X-ray Left Femur AP/Lateral?
- You may be asked to remove shoes, socks, or any clothing that could interfere with the X-ray.
- Wear loose, comfortable clothing that allows easy access to the skull area.
- Inform the technician if you are pregnant or might be, as X-rays are typically avoided in pregnancy unless necessary.
- Remove any jewelry or metal objects from the area being X-rayed.
- Follow any specific instructions provided by your doctor or technician.
What is the procedure for an X-ray Left Femur AP/Lateral?
- You will be asked to sit or stand, depending on the positioning needed for the X-ray.
- You may be asked to hold still and not move during the image capture to avoid blurry results.
- In some cases, you might need to shift your weight or adjust your position for the best angle.
- The technician will take the necessary images, ensuring they are clear and of good quality.
- Once the images are taken, you can resume normal activities and put on your shoes if needed.
What is the aftercare for an X-ray Left Femur AP/Lateral?
- No special aftercare is required after the X-ray.
- You can return to your regular activities immediately after the procedure.
- If you were wearing a gown, you can change back into your clothes after the X-ray.
- Wait for your doctor to review the images and discuss the results with you.
What is the cost of an X-ray Left Femur AP/Lateral?
The X-ray Left Femur AP/Lateral scan costs Rs. 500/- to Rs.1,000/-, and the reports are available within 24 hours, ensuring you receive your results promptly and can take the following steps in your treatment plan.
- Test Type: X-ray Left Femur AP/Lateral
- Preparation:
- Wear a loose-fitting cloth
- Fasting is required for a few hours if instructed
- Stay hydrated
- Carry Your ID Proof
- Remove jewellery
- As per the PC-PNDT Act, patients must have a prescription with a doctor’s signature, stamp, and DMC/HMC number. This is a crucial requirement that ensures the safety and accuracy of the procedure. Please ensure you have the necessary prescription before booking your appointment.
- Reports Time: Within 24 hours
Test Price: starts from Rs. 500/- to Rs.1,000/-
- How can I book an appointment for a low-cost X-ray Left Femur AP/Lateral through Medifyhome?
Booking an appointment for an affordable X-ray Left Femur AP/Lateral
at Medifyhome is straightforward. You can do it through our website, Medifyhome, by filling out the inquiry form or contacting us at +919100907036 or +919100907622. Our team will assist you in finding the earliest available slot that suits your schedule.
- What is an X-ray Left Femur AP/Lateral Scan?
An X-ray Left Femur AP/Lateral scan is a medical imaging procedure that takes two views of the left thigh bone:
Lateral view — an image taken from the side
This scan helps doctors examine the femur for fractures, infections, tumors, or other bone-related conditions.
AP (Anteroposterior) view — an image taken from front to back
- What is the cost of an X-ray Left Femur AP/Lateral?
The X-ray Left Femur AP/Lateral scan costs Rs. 500/- to Rs.1,000/-.
- When will my reports be available?
Reports will be available within 24 hours after your scan.
- Is an X-ray Left Femur AP/Lateral safe?
Yes, an X-Ray Cervical Spine Open Mouth View is generally safe, though it involves low levels of radiation, which is carefully controlled.
What can an X-ray Left Femur AP/Lateral detect?
An X-ray Left Femur AP/Lateral can detect fractures, infections, tumors, and other abnormalities in the thigh bone. It provides detailed images from both front and side views to help doctors diagnose and plan treatment effectively.
Why Choose Medifyhome ?
Medifyhome is a leading digital healthcare platform that provides high-quality tests at affordable prices in trusted laboratories. We collaborate with top-tier labs and clinics with the latest technology to offer a wide range of ultrasound scans with accurate results. Your safety and comfort are our top priorities. We provide various ultrasounds for twins, bladder, head, knee, limbs, eyes, and more. Additionally, we offer MRI scans, such as the brain with CSF flow and lower abdomen, and CT scans like NCCT of the right foot and right tibia. Our partners are NABL and NABH certified, ensuring high-quality care. For more information, visit our page on Medifyhome or contact us at +919100907036 or +919100907622.



