X-ray Left Forearm AP & LATERAL
Get accurate and comprehensive imaging with an X-ray Left Forearm AP & Lateral at Medifyhome. Using state-of-the-art equipment, we provide clear front and side views of the left forearm to help diagnose fractures, injuries, or other conditions. Our NABL and NABH certifications ensure trustworthy results at affordable prices, giving you confidence in your care.
Book an Appointment
X-ray Left Forearm AP & LATERAL
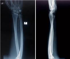
An X-ray Left Forearm AP & LAT captures both front-to-back (AP) and side (LAT) views of the left forearm, including the radius and ulna bones. This x-ray helps diagnose fractures, dislocations, infections, and joint conditions like arthritis. Doctors often recommend it for individuals experiencing pain, swelling, or restricted movement due to an accident or repetitive strain.
If you’re dealing with a sports injury, workplace accident, or unexplained forearm pain, with the help of Medifyhome, you can get the highly accurate and affordable X-ray services through our partnered NABL-certified diagnostic centers. The procedure is fast, safe, and non-invasive. For effective diagnosis, visit Medifyhome or call us at +919100907036 or +919100907622.
What is an X-ray Left Forearm AP & LATERAL?
An X-ray Left Forearm AP & Lateral is a medical imaging test that takes two views—front (AP) and side (lateral)—of the left forearm bones.
It helps doctors examine the radius and ulna for fractures, dislocations, infections, or other abnormalities..Why is it Done?
It is done to diagnose fractures, dislocations, infections, or other bone and joint problems in the left forearm.
It also helps evaluate pain, swelling, or deformity after an injury.
How do you prepare for an X-ray Left Forearm AP & LATERAL?
- You may be asked to remove shoes, socks, or any clothing that could interfere with the X-ray.
- Wear loose, comfortable clothing that allows easy access to the skull area.
- Inform the technician if you are pregnant or might be, as X-rays are typically avoided in pregnancy unless necessary.
- Remove any jewelry or metal objects from the area being X-rayed.
- Follow any specific instructions provided by your doctor or technician.
What is the procedure for an X-ray Left Forearm AP & LATERAL?
- You will be asked to sit or stand, depending on the positioning needed for the X-ray.
- You may be asked to hold still and not move during the image capture to avoid blurry results.
- In some cases, you might need to shift your weight or adjust your position for the best angle.
- The technician will take the necessary images, ensuring they are clear and of good quality.
- Once the images are taken, you can resume normal activities and put on your shoes if needed.
What is the aftercare for an X-ray Left Forearm AP & LATERAL?
- No special aftercare is required after the X-ray.
- You can return to your regular activities immediately after the procedure.
- If you were wearing a gown, you can change back into your clothes after the X-ray.
- Wait for your doctor to review the images and discuss the results with you.
What is the cost of an X-ray Left Forearm AP & LATERAL?
The X-ray Left Forearm AP & LATERAL scan costs Rs. 500/- to Rs.1,000/-, and the reports are available within 24 hours, ensuring you receive your results promptly and can take the following steps in your treatment plan.
- Test Type: X-ray Left Forearm AP & LATERAL
- Preparation:
- Wear a loose-fitting cloth
- Fasting is required for a few hours if instructed
- Stay hydrated
- Carry Your ID Proof
- Remove jewellery
- As per the PC-PNDT Act, patients must have a prescription with a doctor’s signature, stamp, and DMC/HMC number. This is a crucial requirement that ensures the safety and accuracy of the procedure. Please ensure you have the necessary prescription before booking your appointment.
- Reports Time: Within 24 hours
Test Price: starts from Rs. 500/- to Rs.1,000/-
Why do I need an X-ray Left Forearm AP & LATERAL?
It helps diagnose fractures, joint issues, soft tissue injuries, and infections.
- Can children undergo this X-ray?
Yes, it is safe for children, and radiation exposure is kept to a minimum.
- Do I need to remove any jewelry?
Yes, you should remove any bracelets or watches to avoid interference with the scan.
What happens if a fracture is detected?
Your doctor may recommend splinting, casting, or in some cases, surgery depending on the severity of the fracture.
How much does an X-ray Left Forearm AP & LATERAL cost?
The price ranges from ₹500 to ₹1,200, depending on the facility.
Is this procedure painful?
The X-ray is painless, though individuals with injuries may feel mild discomfort when positioning their forearm.
Why Choose Medifyhome ?
Medifyhome is a leading digital healthcare platform that provides high-quality tests at affordable prices in trusted laboratories. We collaborate with top-tier labs and clinics with the latest technology to offer a wide range of ultrasound scans with accurate results. Your safety and comfort are our top priorities. We provide various ultrasounds for twins, bladder, head, knee, limbs, eyes, and more. Additionally, we offer MRI scans, such as the brain with CSF flow and lower abdomen, and CT scans like NCCT of the right foot and right tibia. Our partners are NABL and NABH certified, ensuring high-quality care. For more information, visit our page on Medifyhome or contact us at +919100907036 or +919100907622.



